当前位置: 首页 > 新闻动态 > 医院动态
吉林省一汽总医院胸痛中心精准除栓,挽救重症冠脉病变患者
时间:2025-12-13     来源:吉林省一汽总医院
  近日,吉林省一汽总医院胸痛中心上演了一场与死神赛跑的紧急救援。急性胸痛患者经120急诊入院后,医院仅用半小时便启动急诊PCI介入手术,通过多术式联合治疗成功取出8cm血栓,精准破解“左主干+三支病变”的致命危机,为患者筑牢生命防线。
  当日,一名54岁患者因突发剧烈胸痛、大汗淋漓被家属紧急呼叫120送往吉林省一汽总医院。120生命体征监护提示心率慢、血压62/46mmHg,病情危急。抵达医院后,胸痛中心立即启动“绿色通道”,医护团队同步完成问诊、常规检测等系列流程,快速锁定“急性冠脉综合征”的危急诊断。

  考虑到患者病情进展迅猛,随时可能出现心跳骤停,胸痛中心潘洪涛主任当机立断:“跳过常规术前等待,直接推送导管室开展急诊PCI!”在导管室内,治疗团队争分夺秒开展手术。通过选择性冠状动脉造影术,清晰显示患者冠状动脉左主干及三支血管均存在严重狭窄,且血管内形成8cm长的血栓,堵塞血管导致心肌严重缺血。面对复杂凶险的病情,团队精准施策,依次开展经皮冠状动脉腔内成形术扩张狭窄血管、冠状动脉内血栓抽吸术清除块状血栓、冠状动脉内溶栓术溶解残余血栓,最终成功植入冠状动脉内药物洗脱支架,实现血管血运重建。

(介入手术取出的8cm血栓)

  整个手术过程行云流水,从患者入院到支架植入完成,全程仅用时60分钟,其中从入院到手术启动仅耗时30分钟,远超国家胸痛中心推荐的“90分钟黄金救治时间窗”标准。“左主干+三支病变属于冠脉病变中最凶险的类型之一,再叠加8cm血栓堵塞,相当于心脏的‘供血总干线’和‘分支线路’同时瘫痪,死亡率极高。”手术主刀医生介绍,此次救治的关键在于胸痛中心“院前-院中-术后”全流程无缝衔接的高效机制,以及多学科团队的默契配合,才得以在极短时间内完成精准诊断和复杂手术,从死神手中夺回患者生命。

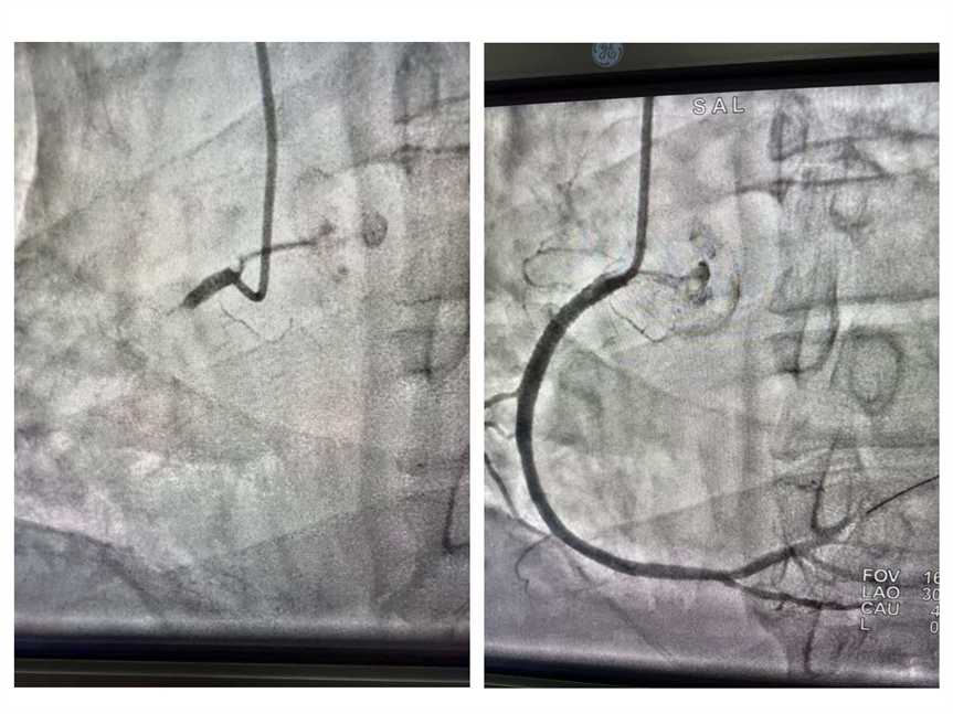
(术前术后造影对比图)
  术后,患者生命体征逐渐平稳,胸痛症状完全缓解。经过后续康复治疗,患者已顺利脱离危险,目前正在稳步恢复中。患者家属握着医护人员的手激动不已:“多亏了医院的快速反应和精湛技术,不然我们真的就没辙了,是你们给了他第二次生命!”
  作为国家级胸痛中心,吉林省一汽总医院始终以“时间就是生命”为核心理念,不断优化救治流程,强化院前急救与院内诊疗的联动协作,将急诊PCI启动时间持续压缩,为急性胸痛患者打造“快速、精准、高效”的生命救治通道。此次成功救治重症冠脉病变患者,再次彰显了医院在心血管急危重症救治领域的过硬技术实力和成熟的应急救援体系。未来,吉林省一汽医院胸痛中心将持续精进技术、优化服务,为更多心血管疾病患者提供更优质、更高效的医疗保障。