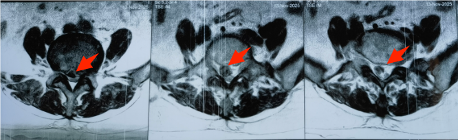
敦化市的赵女士半年前突发右下肢疼痛,短期内迅速加重为右小腿持续性剧痛、足背麻木及踝关节背伸无力,夜间难以入眠,口服止痛药无效,日常行走受限。经当地医院腰椎MRI检查,确诊为“L4-L5腰椎间盘突出症(脱垂游离型)”,突出的椎间盘组织已脱离椎间隙坠入椎管,对右侧L5神经根形成重度压迫。具备明确手术指征,但因游离组织位置深、与神经根粘连紧密且年龄偏大,手术风险和难度较高,当地医院建议转至上级医院接受专业治疗。


患者经当地医疗机构推荐至吉林省一汽总医院,骨科滕宇飞主任团队接诊后,立即对赵女士进行全面评估,明确手术核心诉求:精准摘除游离组织、解除神经压迫并保护脊柱稳定性。考虑到手术复杂性,团队预判了髓核定位难、粘连分离易损伤神经等技术挑战,特邀吉林大学中日联谊医院尹飞副主任跨院会诊。两位专家结合影像学资料与患者情况,反复研讨后确定“腰椎管减压+游离髓核摘除+椎弓根螺钉固定植骨融合”方案,兼顾减压效果与脊柱稳定性,降低复发风险。

手术在麻醉科团队配合下顺利推进,两位专家精准定位游离椎间盘组织,小心分离粘连部位,完整摘除病变组织,全程120分钟未出现术中并发症,达到预期效果。术后,赵女士在骨科护理团队的专业照护与康复指导下逐步恢复:术后6小时可自主翻身,疼痛明显缓解;术后第2天右下肢肌力恢复至4级+,麻木感减轻;术后1周可在腰围保护下下床活动,踝关节功能基本恢复,行走自如。

出院时,赵女士及家属向医护团队表达谢意。滕宇飞副主任叮嘱,术后3个月内需避免弯腰负重、久坐久站,坚持佩戴腰围并进行腰背肌康复训练,定期复诊以降低复发风险。
