当前位置: 首页 > 新闻动态 > 医院动态
挑战高龄“禁区”——吉林省一汽总医院普外科团队成功为一百岁老人开展腹腔手术
时间:2022-12-06     来源:吉林省一汽总医院
  近期,吉林省一汽总医院普外科为一位病情危重的百岁老人成功手术,术后患者经过精心治疗和护理顺利出院。

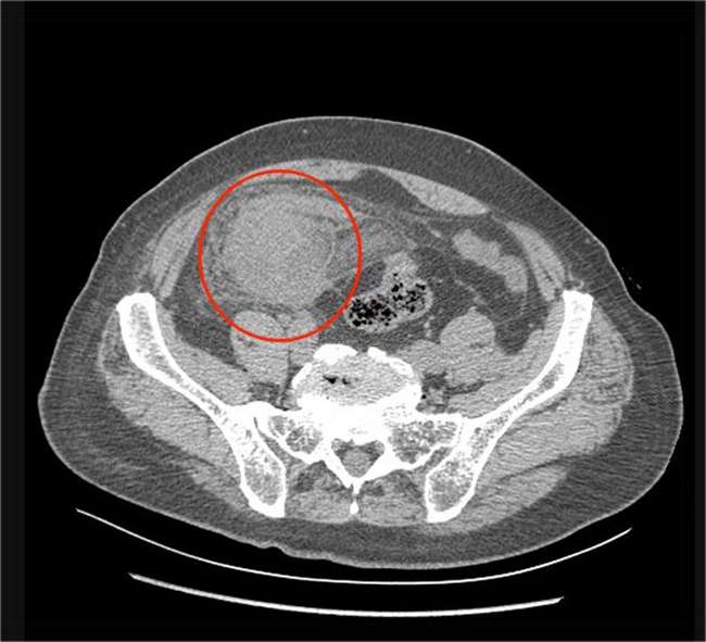
  一个月前,我院发热门诊接收了一位特殊的病人,一位100岁的老人因为发热、咳嗽3天来医院就诊,完善相关检查后,以肺炎收入了我院呼吸科。呼吸科医生在查体时发现老人肚子上有一个明显的包块。CT检查结果提示患者右下腹占位,直径约8厘米。普外科张军主任团队对患者进行会诊后,考虑不能排除阑尾周围脓肿合并严重感染的可能。


  普外科团队优化手术治疗方案,在与患者家属充分沟通并取得患者家属同意后,对患者进行了手术治疗。术中发现患者的阑尾支离破碎,早已看不出阑尾的形状了。而且阑尾被一个巨大的脓包包裹,手术难度极大。普外科团队以过硬的专业技术,精益求精的手术态度成功地攻克这一难题,圆满地完成了手术。


  由于患者营养状态差,术前粪便已经漏入腹腔,感染严重,术后极易出现肠瘘。但经过普外科医护团队近1个月的精心治疗和护理,患者逐渐恢复了健康,没有出现任何严重并发症,最终顺利出院。患者家属对医院全体医护人员表示了衷心的感谢。


  高龄患者外科手术可能存在三大客观难点:一是各器官功能较差,手术和麻醉的耐受性差;二是基础疾病多,如高血压,糖尿病、心脑血管等疾病,术中发生各种意外的可能性大;三是手术后恢复慢,易发生感染、消化道出血、肺炎和静脉血栓等并发症。然而,随着我国进入老龄化社会,“高龄患者手术”是我们必然要面对的问题。部分胃肠道疾病患者,只有通过手术途径,方可治愈。我院普外科团队勇担重任,守护生命,勇攀“高龄”这一巅峰。

  近年来,吉林省一汽总医院普外科全体医务人员坚持以医疗、安全、高效为目标,不断提高医疗技术水平,强化医疗服务质量,努力建设功能完善、管理规范、技术精湛、服务一流的品牌科室,为群众身体健康保驾护航。