当前位置: 首页 > 特色医疗 > 特色技术
滤除危重症“风暴”!我院重症医学科利用血液净化前沿技术为生命护航
时间:2026-02-07     来源:吉林省一汽总医院
       近日,我院重症医学科借助内毒素吸附治疗(oxiris)血液净化技术,成功救治一名病情危急的脓毒症患者。该患者因长期基础疾病合并肺部感染,在多种支持治疗效果不佳时,医疗团队启用oXiris技术干预,最终帮助患者逐步稳定病情,顺利康复出院。 

患者基本情况

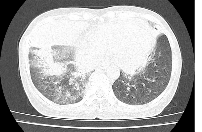
       该患者患有“干燥综合征”,反复高热、寒战。入院2天前再次出现发热症状,并伴有胸闷、喘息,到我院急诊行肺CT检查见大范围肺部感染伴随实变,入院后病情急剧恶化,SPO2降至69%,BP64/42mmHg,体温高达40℃,患者持续高热,全身炎症反应重,血流动力学极不稳定——需要2种血管活性药较大剂量仍难以维持血压,迅速出现呼衰、肾衰、心衰等多器官功能面临衰竭表现,医疗团队判断是由脓毒症引发的“细胞因子风暴”在肆虐。


患者入院时胸部CT影像

医疗团队治疗过程

       面对患者汹涌的病情,我院重症医学科团队果断决策,在脓毒症集束化治疗方案基础上,启动了先进的oXiris血液净化治疗。经过精准治疗,患者的“炎症风暴”得到快速控制,体温逐渐恢复正常,升压药剂量显著下调,血流动力学趋于稳定,炎症指标明显下降,各项器官功能指标呈现积极改善趋势,1周后成功脱离呼吸机及CRRT治疗,顺利出院。



精准应对危重症的“技术利器”

       内毒素吸附治疗(oxiris)是一种通过特殊滤器吸附血液中的内毒素和炎症因子的血液净化技术,主要用于脓毒症、多器官功能障碍综合征(MODS)等重症感染性疾病的辅助治疗。该技术能降低炎症反应,改善血流动力学,提高生存率,需在重症监护条件下由专业团队操作。


       该项技术融合了能够双重清除炎症介质、源头阻断反应链条并同步提供器官支持等多重功能优势。与常规血液净化技术相比,oXiris技术无需额外串联装置,治疗流程更简洁,能快速介入危重症救治,帮助患者改善血流动力学状态,减少相关支持药物的使用,为原发病治疗争取宝贵时间。多项临床实践表明,该技术在脓毒症等危重症救治中具有积极的应用价值。 

前沿技术加持 筑牢生命防线

       我院重症医学科开展连续性血液净化技术十余年,在肾衰竭、重症感染、中毒等危重症救治方面积累了丰富经验。2025年引进oXiris血液净化技术后,已成功应用于多例伴有严重休克、脏器功能受损的脓毒症患者救治。从常规支持到精准干预,oXiris技术的落地应用,是我院重症医学科在危重症救治领域引入前沿技术的重要实践,标志着科室在炎症调控、器官支持等方面的治疗能力进一步提升。未来,重症医学科将持续依托先进医疗技术与专业诊疗团队,不断优化危重症救治策略,为更多危重患者提供更优质、更精准的医疗服务,用技术力量守护生命健康。


[健康小科普]什么是脓毒症相关的“炎症风暴”?


       当机体遭遇严重感染时,免疫系统可能出现过度反应,释放大量炎症介质,形成类似“风暴”的连锁反应。这种反应不仅攻击病原体,还可能损伤自身组织器官,导致血管通透性异常、血压下降、微循环障碍,严重时引发多器官功能衰竭,给救治带来极大挑战。传统治疗多以抗感染、液体支持等为主,部分危重患者难以快速打破这一恶性循环。