我院神经外科团队取得技术突破,成功将前沿的3D打印技术应用于临床,为多位脑出血患者实施了3D打印辅助精准定位脑血肿穿刺引流术。3D打印技术的应用,相当于为脑出血手术装上“GPS”,实现了精准定位和微创治疗。这项技术的成功开展,标志着我院在脑出血疾病的微创、精准、个体化治疗领域达到了区域领先水平,正式告别“凭经验手感”,迈入“精准智能”的新纪元,为众多危重患者带来了全新的生命希望。
“生命禁区”的挑战:传统穿刺的“模糊地带”
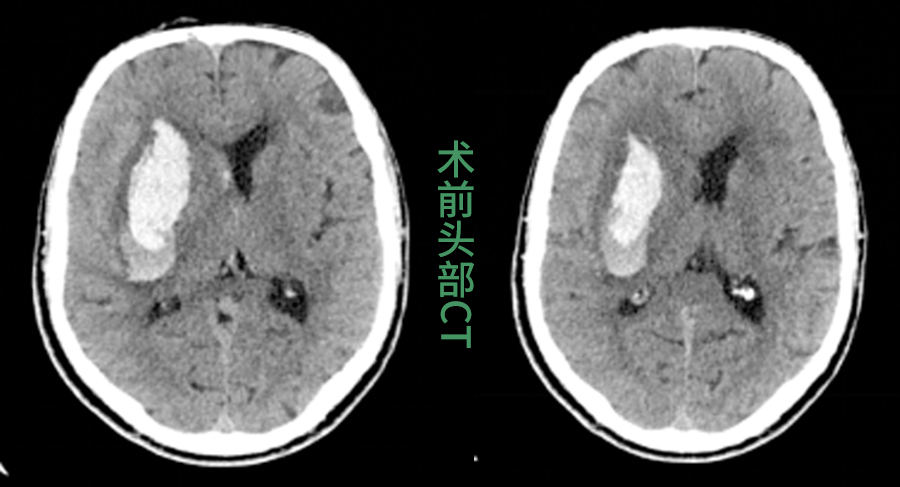
脑出血起病急、致死致残率高,及时清除血肿是拯救生命的关键。传统的穿刺引流术虽属微创,但医生只能在二维CT影像的指引下,凭借临床经验徒手进行穿刺。这个过程存在一定的不确定性,如同在没有导航的复杂路况中行车,难以确保每次都能“一击即中”。
科技赋能医疗:3D打印导板化身“手术GPS”
针对这一临床痛点,我院神经外科引进了前沿的3D打印辅助精准定位技术,解决了“打不准”的难题:
1.三维重建,虚拟规划:术前,医生将患者的颅脑CT数据输入计算机,生成一个颅内三维数字模型,血肿的形态、深度及其与关键组织的比邻关系清晰呈现。

3.精准引导,一击即中:手术中,这枚特殊的“GPS”导板稳固贴合在患者头部,为手术穿刺针提供精确的进针角度和深度通道,穿刺导管沿此通道进入,直达血肿中心,实现毫米级的精准定位。